Wurzelkanalbehandlung
Durch eine tiefe Karies kann es zu einer Entzündung des Zahnnervs kommen, was sich durch eine Heiß-Kalt-Empfindlichkeit oder Schmerzen bemerkbar macht. Wird der Zahn jetzt nicht behandelt, töten die Bakterien den Nerv ab und es kommt zwangsläufig zu einer Entzündung des Knochens um die Wurzelspitze. Diese chronische Entzündung ist oft relativ lange schmerzfrei, kann aber jederzeit in einen akuten Zustand übergehen und zu einem Abszess und starken Schmerzen führen.
Ziel einer Wurzelkanalbehandlung ist es, das bakteriell infizierte Gewebe zu entfernen und dadurch den Zahn zu erhalten. In der Regel ist dies mit einer lokalen Betäubung schmerzfrei durchführbar.
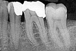
Im Inneren eines Zahnes befinden sich der Nerv und die Blutgefäße die zusammen das Zahnmark, die so genannte Pulpa, bilden. Ein Zahn hat zwischen einem und vier Wurzelkanäle. Diese werden mit Instrumenten erweitert und mit verschiedenen Spüllösungen gereinigt. Um eine langfristige Beschwerdefreiheit zu erzielen, sollte der Nervenkanal möglichst bis zur Wurzelspitze gereinigt werden. Meist wird nach der ersten Behandlung ein Medikament in den Zahn eingebracht, das verbliebene Bakterien abtötet. Um einen dauerhaften und bakteriendichten Verschluss des Wurzelkanalsystems zu gewährleisten, werden die aufbereiteten und trockenen Kanäle in einer weiteren Sitzung aufgefüllt.
Leider werden diese zusätzlichen Bemühungen von den gesetzlichen Krankenkassen noch immer nicht honoriert. Wir bitten Sie daher um Verständnis, daß hier eine Zuzahlung nötig ist.
Da uns das Wohl und die Zähne unserer Patienten sehr am Herzen liegen, beraten wir Sie auf Wunsch natürlich sehr gerne ausführlicher in unserer Praxis.
Wurzelkanalbehandlung nach Kassenrichtlinien:
- Die Kasse entscheidet nach standardisierten Richtlinien, welcher Zahn behandelt werden darf.
- Oft kann mit den "Standardwerkzeugen" keine Reinigung des Zahnes bis zur Wurzelspitze gewährleistet werden und es kommt zu einer chronischen Entzündung.
Wurzelkanalbehandlung nach dem neuesten wissenschaftlichen Stand:
- Für bessere Übersicht und Schutz vor Kontaminierung mit Bakterien wird nach Möglichkeit ein Kofferdam (Spanngummi) gelegt.
- Maschinelle Aufbereitung erfolgt mit sehr biegsamen Nickel-Titanfeilen, die bei der gründlichen Reinigung der gebogenen Kanäle bis in die Wurzelspitze gelangen.
- Die Längenmessung der Wurzel erfolgt zusätzlich durch ein elektronisches Messgerät.
- Reinigung mittels verschiedener Spüllösungen, die das gesamte Keimspektrum abtöten.
- Um das Risiko eines übersehenen Kanals so gering wie möglich zu halten, wird die Behandlung oft mittels einer Lupenbrille durchgeführt.
Die Alternative zur Wurzelkanalbehandlung ist den Zahn zu entfernen. Die Lücke sollte nicht belassen werden, da es zu einer Zahnkippung der angrenzenden Zähne kommt. Probleme mit dem Zahnhalteapparat können die Folge sein. Der fehlende Zahn kann durch eine Brücke, ein Implantat oder eine Prothese ersetzt werden, wobei Ihnen meist höhere Kosten entstehen als bei einer Wurzelkanalbehandlung. Ein wurzelkanalbehandelter Zahn ist zwar "tot", aber das Tastempfinden durch den Zahnhalteapparat ist im Gegensatz zu einem Implantat nach wie vor vorhanden.
Nach einer Wurzelkanalbehandlung sollte der Zahn über einen gewissen Zeitraum beobachtet werden. Um zu verhindern, daß der durch die Wurzelkanalbehandlung geschwächte Zahn zerbricht, empfehlen wir in den meisten Fällen eine anschließende Versorgung mit einer Krone.
Was ist ein Kofferdam?
Bei einem Kofferdam handelt es sich um ein Gummituch mit einem kleinen Loch, welches über den zu reparierenden Zahn gestülpt wird. Durch dieses Spanngummi wird eine bessere Trockenlegung und Übersicht über das Arbeitsfeld erreicht. Er verhindert, daß Bruchstücke von Füllungen (Amalgam) in den Mund gelangen könnten und schützt Sie vor dem unangenehmen Geschmack verwendeter Materialen. Vor allem bei der Wurzelkanalbehandlung wird eine erneute Infektion des Zahnes durch Bakterien im Speichel verhindert und eine bessere Sicht für den Behandlererzielt.






